Our services
A medical team with great experience, we use the latest equipment, we provide medical services of international quality

Comprehensive Dental Diagnosis & Check-ups
One-visit 3-D diagnostics with CBCT imaging and periodontal screening. Our detailed report uncovers hidden decay, nerve status and bite issues—laying the groundwork for a personalized treatment plan in Mansoura.
Appointment Booking.png)
Bone & Dental Implants
German titanium implants placed with guided-surgery precision. Optional bone grafting restores lost volume, giving you a lifelong, pain-free replacement tooth.
Appointment Booking
Clear & Metal Orthodontics
From classic braces to removable clear aligners, we straighten teeth and jaws with quick monthly adjustments—follow-ups are complimentary until completion.
Appointment Booking
Laser Teeth Whitening
A single 45-minute laser session can brighten teeth up to three shades while protecting gums and minimizing post-treatment sensitivity.
Appointment Booking.png)
Cosmetic Tooth-Colored Fillings
Shade-matched composite fillings restore chips and cavities with minimal drilling, chemically bonding to strengthen the tooth and prevent future leakage.
Appointment Booking
Dental Botox & Smile Fillers
Targeted Botox and hyaluronic fillers refine gummy smiles and lip lines in a 15-minute visit, delivering balanced aesthetics within days.
Appointment Booking
TMJ Disorder Therapy
علاج مفصل الفكLow-level laser sessions, custom night guards and muscle exercises ease clicking jaws and headaches, backed by a full bite assessment.
Appointment Booking
Pediatric Dentistry
طب أسنان Child-friendly care with nitrous oxide and topical fluoride that protects against cavities while teaching kids positive oral-health habits.
Appointment Booking
Full-Mouth Rehabilitation
Integrated plans—implants, crowns, fillings and gum recontouring—rebuild aesthetics and function for severe wear or multiple missing teeth. الفم
Appointment Booking
Laser Gum Contouring & Therapy
Blood-free Er:YAG laser heals gum disease, restores bone level and reshapes gummy margins with pinpoint accuracy and fast recovery.
Appointment Booking
Root Canal Therapy
حشو العصبRotary files and apex locators thoroughly clean canals, sealed with warm obturation and followed by a protective crown build-up.
Appointment Booking
Oral & Dental Surgery
Impacted wisdom-tooth removal, cyst excision and frenectomy under local anesthesia, guided by 3-D imaging for nerve safety.
Appointment Booking
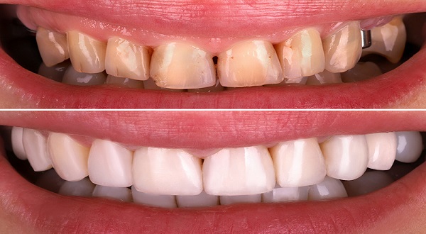
Fixed & Removable Prosthetics (Veneers, Crowns, Snap-On Smile)
Tailor-made porcelain veneers, full zirconia crowns or removable Snap-On Smile trays—crafted with CAD/CAM for perfect fit and swift turnaround.
Appointment Booking